Punkcija ramenskega kalcinata
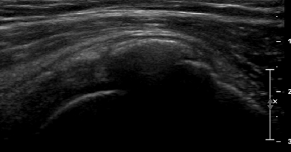
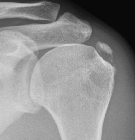
Kalcinirajoči tendinitis ramena je stanje, pri katerem pride zaradi kalcinatov v tetivi do vnetja v ramenskem sklepu. Kristali kalcija se nalagajo v slabo prekrvljenem delu tetiv in povzročajo vnetje v ramenu, ki se kaže kot vnetje ovojnice ali kot vnetje subakromialnega mešička. Bolniki opisujejo močno bolečino in omejeno gibljivost v ramenu.
Poleg kliničnega pregleda je potrebna RTG diagnostika in UZ preiskava ramena, v določenih primerih tudi preiskava z magnetno resonanco. Običajno se vnetje zdravi s počitkom, analgetično terapijo, fizikalno terapijo. V določenih primerih svetujemo tudi terapijo z udarnimi valovi (ESWT).
V kolikor so kalcinati večji od 8mm in so enakomerne strukture lahko pod ultrazvočno kontrolo opravimo tudi punkcijo kalcinata in kalcinat izperemo. Poseg se opravi v lokalni anesteziji in traja približno 30 minut. Bolečina lahko traja tudi nekaj dni po posegu. V teh primerih svetujemo jemanje analgetikov. Nekaj dni po posegu priporočamo postopno stopnjevanje aktivnosti, izvajanje vaj, plavanja, nordijske hoje in fizikalne terapije in po 2 -3 mesecih vrnitev željenim aktivnostim.
https://mail.bisturmed.com/sl/ortopedija/punkcija-kalcinata#sigFreeId909d132523





